Child Space Maintainers in Kumbakonam | Nalamm Dental Cosmetiks
preserve space for permanent teeth

Introduction
When a child loses a baby tooth early—due to decay, injury, or extraction—many parents think it’s not a big issue. “It’s just a milk tooth; a permanent one will come later.”
That assumption is one of the most common (and costly) mistakes in pediatric dentistry.
If you’re searching for space maintainers treatments – Nalamm Dental Cosmetiks in Kumbakonam, it means you want to protect your child’s future smile, not just solve today’s problem.
At Nalamm Dental Cosmetiks, space maintainers are used preventively, to guide proper tooth alignment and avoid complex orthodontic issues later.

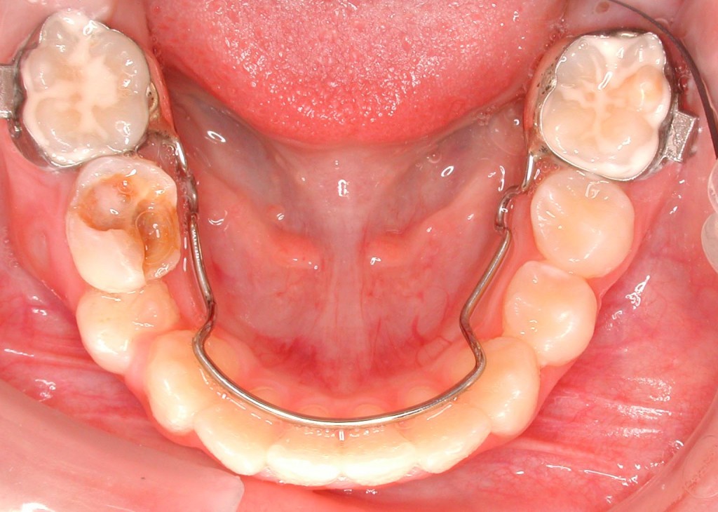
What Are Space Maintainers? (Simple Explanation)
A space maintainer is a custom-made dental appliance used in children when a baby tooth is lost earlier than expected. Its job is simple but crucial:
👉 Hold the space open until the permanent tooth is ready to erupt.
Without a space maintainer:
Nearby teeth drift into the empty space
Permanent teeth may erupt crooked or get stuck
Jaw alignment can be affected
Space maintainers don’t straighten teeth—they prevent future misalignment.
Why Early Tooth Loss Is a Bigger Problem Than Parents Think
Baby teeth do more than help children chew. They:
Guide permanent teeth into correct position
Maintain jaw space and symmetry
Support proper speech development
When a baby tooth is lost too early:
Adjacent teeth start moving within weeks
Space reduces silently (often unnoticed)
Future orthodontic treatment becomes more complex
Space maintainer treatment is far easier and more affordable than braces later.
When Does a Child Need Space Maintainer Treatment?
Space maintainers are usually recommended when:
A baby tooth is extracted early due to decay
A tooth is lost due to injury or trauma
There is a long gap before permanent tooth eruption
Multiple baby teeth are missing prematurely
At Nalamm Dental Cosmetiks, every child is assessed individually—not every case needs a space maintainer, and unnecessary appliances are avoided.
Types of Space Maintainers Used in Children
The type of space maintainer depends on:
Number of teeth missing
Child’s age
Tooth position
Oral hygiene ability
🦷 Fixed Space Maintainers
These are cemented in place and cannot be removed by the child.
Common types include:
Band and loop space maintainer
Crown and loop space maintainer
✔ Best for younger children
✔ Low risk of misuse
✔ Minimal maintenance
🦷 Removable Space Maintainers
These resemble orthodontic plates and can be taken out.
✔ Used in older, cooperative children
✔ Easier cleaning
✔ Requires good compliance
The dentist chooses the option that balances effectiveness and practicality.
How Space Maintainers Treatment Is Done
🦷 Step 1: Dental Evaluation
The dentist checks:
Which tooth is missing
Eruption timeline of permanent teeth
Bite and jaw development
Child’s cooperation level
This ensures the appliance is clinically justified.
🦷 Step 2: Appliance Design
An impression is taken to fabricate a custom-fit space maintainer that:
Feels comfortable
Doesn’t interfere with chewing
Allows normal speech
🦷 Step 3: Placement & Guidance
The appliance is placed gently, and parents are informed about:
Oral hygiene care
Food precautions
Follow-up schedule
The process is quick and child-friendly.
Is Space Maintainer Treatment Painful?
No.
Children usually experience:
No pain
Mild awareness initially
Quick adaptation within a few days
Because the appliance is passive (not moving teeth), discomfort is minimal.
How Long Does a Child Need to Wear a Space Maintainer?
It depends on when the permanent tooth erupts.
Typically:
A few months to a few years
Periodic reviews are required
Appliance is removed once the permanent tooth starts erupting
Regular follow-ups ensure timely removal—leaving it too long is avoided.
What Happens If Space Maintainers Are Not Used?
Skipping space maintainer treatment can lead to:
Crowded permanent teeth
Impacted teeth
Bite problems
Need for braces or orthodontic correction
In short: small prevention now avoids big treatment later.
Why Choose Nalamm Dental Cosmetiks for Space Maintainers in Kumbakonam
Parents trust Nalamm Dental Cosmetiks because of:
Gentle pediatric approach
Clear explanation to parents
Child-friendly environment
Ethical treatment planning
Focus on long-term oral development
Here, children are treated with patience—not pressure.
Care Tips for Children with Space Maintainers
Parents should help children:
Maintain proper brushing
Avoid sticky or hard foods
Attend regular dental check-ups
Report looseness or discomfort early
Good care ensures the appliance works as intended.
When Should Parents Visit a Dentist Immediately?
Consult a dentist if:
A baby tooth is lost unexpectedly
There is early tooth decay
A space maintainer becomes loose or broken
The child experiences irritation
Early review prevents complications.

Conclusion
Space maintainers may look small, but their impact is significant.
If you’re searching for space maintainers treatments – Nalamm Dental Cosmetiks in Kumbakonam, you’ll find a clinic that prioritizes prevention, child comfort, and long-term dental health—not unnecessary treatment.
📍 Protecting growing smiles
🦷 Preventing future problems
🙂 Child-friendly dental care