Save Up to 50%
on Dental services for members.
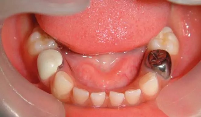
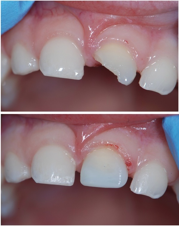
Elevate your orthodontic care by becoming a member of our clinic’s exclusive membership program. Members benefit from priority scheduling, reduced rates on all orthodontic treatments, and complimentary consultations and check-ups. Our program also includes special pricing on follow-up care and retainer replacements, ensuring your smile remains perfect long after your treatment has concluded. Sign up today to enjoy these perks and a continuous, personalized care journey with our expert team.
















