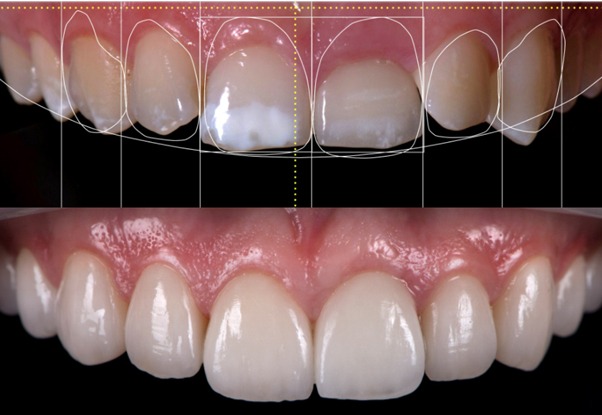
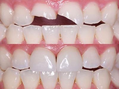
Save Up to 50%
on Dental services for members.
Unlock exclusive benefits and continuous dental care by joining our membership program. Enjoy discounted rates on services, priority scheduling, and regular check-ups, all tailored to keep your smile healthy and bright. Become a member today to ensure your dental health is always a priority!













