Save Up to 50%
on Dental services for members.
Lorem ipsum dolor sit amet, consectetur adipiscing elit. Ut elit tellus, luctus nec ullamcorper mattis, pulvinar dapibus leo.

Tooth pain, decay, or infection should never be ignored.
At Nalamm Dental Cosmetiks, our advanced restorative dentistry and root canal treatments are designed to save your natural teeth, eliminate pain, and restore full function — safely, comfortably, and predictably.

An infected or decayed tooth is not just a dental problem — it is a continuous source of bacterial infection that can affect your entire body.
Untreated dental infection can contribute to:
Early root canal treatment and precise restorations help eliminate infection and protect systemic health.
At Nalamm Dental Cosmetiks, restorative and endodontic care is led by:
Dr. Aravind Chakaravarthy
Expert in Aesthetic, Restorative & Advanced Dental Procedures
Dr. Ponmahalakshmi
Experienced Dental Surgeon with a strong focus on
Conservative Dentistry, Root Canal Treatment & Patient-Centred Care
Together, they bring a balanced approach combining precision, comfort, and long-term tooth preservation.

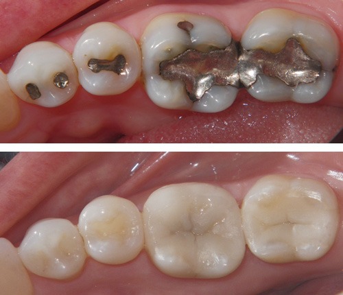
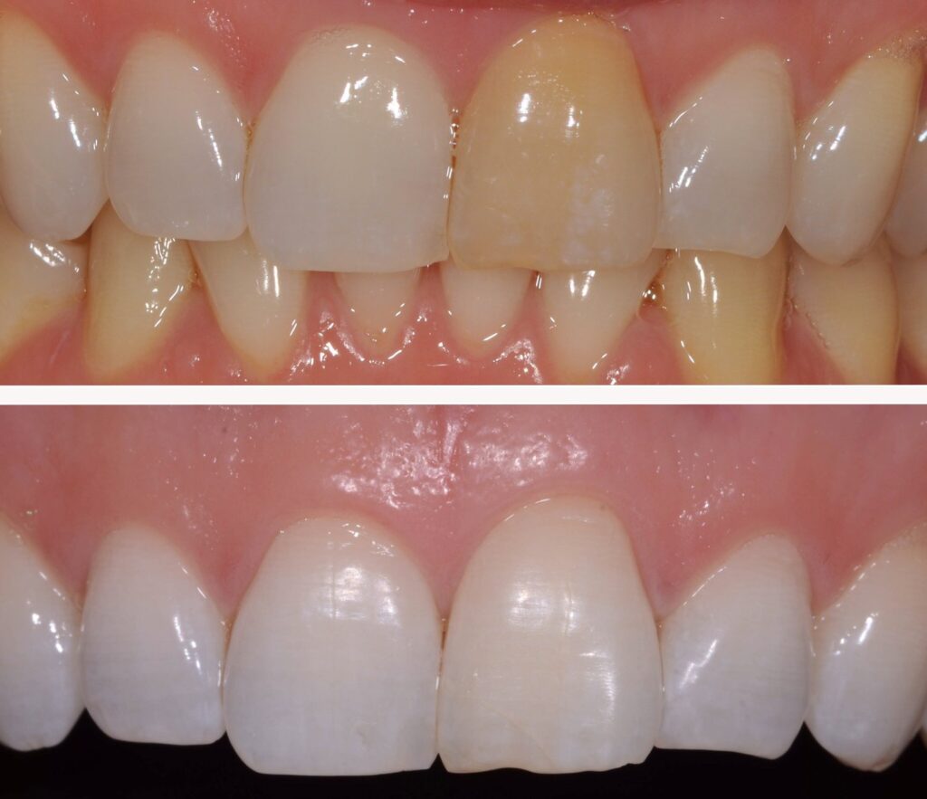
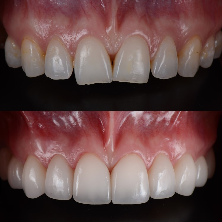
TOOTH COLOUR FILLINGS

DEEP DENTAL CARIES MANAGEMENT

PAINLESS ROOT CANAL TREATMENTS

ADVANCED SINGLE VISIT ROOT CANAL TREATMENTS

INLAY & ONLAY

FRACTURED TOOTH CORRECTION

BLACK OR BROWN COLOURED TOOTH CORRECTION TREATMENT

ROOT DEVELOPMENT TREATENT(APEXOGENEIS)

ROOT DEVELOPMENT TREATMENT( APEXIFICATION)

MINOR ROOT SURGERIES (APISECTOMY)

MICROSCOPIC ENDODONTICS

COMPOSITE VENEERS

MILD GAP CLOSURE

TEETH BLEACHING
Indicated when the tooth pulp is infected due to deep decay, trauma, or cracks.
Benefits include:
Modern techniques ensure safe, comfortable, and successful treatment.
Based on clinical condition:
For teeth with extensive damage, we reinforce structure before crown placement, ensuring strength and longevity.
Used to restore cavities, fractures, or seal post-RCT teeth.
Advantages:
For previously treated teeth with persistent pain or infection.
We address:
Advanced retreatment helps save teeth that may otherwise be lost.
We use:
Technology combined with experience ensures reliable results.
Contact us if you experience:
Early care prevents complications and tooth loss.
Your natural teeth are valuable.
With expert restorative dentistry and root canal care, we help you preserve them for life.
Book Your Restorative & RCT Consultation Today
Relief from pain and long-term protection begin with one visit.
Lorem ipsum dolor sit amet, consectetur adipiscing elit. Ut elit tellus, luctus nec ullamcorper mattis, pulvinar dapibus leo.
