Best Laser Whitening Treatments – Nalamm Dental Cosmetiks in Kumbakonam
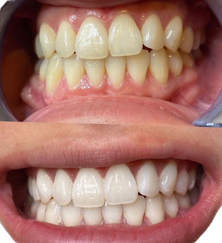
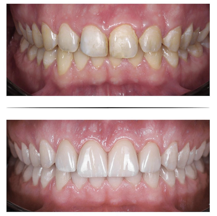
Best Laser Whitening Treatments in Kumbakonam | Nalamm Dental Cosmetiks professional teeth whitening with instant visible results Introduction A bright smile is not just about appearance. It reflects confidence, self-care, and personal presentation. In today’s world, stained or yellow teeth can affect how you speak, smile, and interact with others. That is why more people are searching for the Best laser whitening treatments – Nalamm Dental Cosmetiks in Kumbakonam to achieve safe, fast, and noticeable results. If you are tired of home remedies, whitening toothpaste, or ineffective salon treatments, it is time to understand what professional laser whitening actually offers — and why Nalamm Dental Cosmetiks in Kumbakonam is becoming a trusted choice for cosmetic dental care. What Is Laser Teeth Whitening? Laser teeth whitening is a modern cosmetic dental procedure designed to remove deep stains and brighten teeth quickly. Unlike over-the-counter whitening kits, laser whitening is performed under professional supervision. When patients search for the Best laser whitening treatments – Nalamm Dental Cosmetiks in Kumbakonam, they are usually looking for: Immediate visible results Safe and controlled whitening Long-lasting brightness Minimal tooth sensitivity At Nalamm Dental Cosmetiks in Kumbakonam, laser whitening treatments are performed using professional-grade whitening agents activated by specialized light technology to enhance results. Why Teeth Become Yellow Before choosing the Best laser whitening treatments, it is important to understand why teeth lose their brightness. Common causes include: Coffee and tea consumption Tobacco use Betel nut chewing Poor oral hygiene Aging Certain medications In Kumbakonam, tea and coffee consumption is extremely common, which naturally increases staining. That is why the demand for the Best laser whitening treatments – Nalamm Dental Cosmetiks in Kumbakonam continues to grow. Why Choose Professional Laser Whitening Over Home Remedies? Many people attempt whitening at home using powders, charcoal, or over-the-counter strips. Most of these methods either provide temporary results or damage enamel. Here is the reality: DIY whitening = inconsistent results Overuse of whitening toothpaste = enamel damage Salon whitening = unregulated procedures If you are serious about your smile, professional treatment is the logical choice. The Best laser whitening treatments – Nalamm Dental Cosmetiks in Kumbakonam offer controlled application, safe procedures, and predictable results. What Makes Nalamm Dental Cosmetiks Different? Not every clinic offering whitening provides the same quality. The difference lies in experience, technology, and patient care. Patients searching for the Best laser whitening treatments – Nalamm Dental Cosmetiks in Kumbakonam choose this clinic because of: Professional dental supervision Strict hygiene and sterilization Modern whitening systems Transparent consultation Personalized shade assessment Nalamm Dental Cosmetiks focuses on natural-looking results rather than artificial “over-white” teeth. How the Laser Whitening Process Works Many patients feel nervous because they do not understand the process. Here is a simple breakdown of how the Best laser whitening treatments – Nalamm Dental Cosmetiks in Kumbakonam work: Step 1: Consultation Your teeth and gums are examined to ensure you are suitable for whitening. Step 2: Cleaning Professional cleaning removes plaque and surface stains. Step 3: Whitening Gel Application A whitening gel is applied to the teeth. Step 4: Laser Activation A specialized light activates the gel to break down deep stains. Step 5: Final Rinse and Shade Check The gel is removed and the new shade is assessed. The entire procedure typically takes about 45–60 minutes. Benefits of Laser Whitening Choosing the Best laser whitening treatments – Nalamm Dental Cosmetiks in Kumbakonam provides multiple advantages: Instant visible brightness Safe and controlled procedure Minimal sensitivity Even whitening Boost in confidence Professional supervision Unlike home treatments, laser whitening offers immediate transformation in a single visit. Who Is Suitable for Laser Whitening? You may be a good candidate for the Best laser whitening treatments if: You have yellow or stained teeth You want quick cosmetic improvement You are preparing for a wedding or event You want a professional smile upgrade However, whitening may not be ideal for patients with severe gum disease, deep cavities, or certain dental restorations. That is why consultation at Nalamm Dental Cosmetiks in Kumbakonam is important before proceeding. How Long Do Results Last? Results from the Best laser whitening treatments – Nalamm Dental Cosmetiks in Kumbakonam typically last 1–3 years, depending on lifestyle habits. To maintain results: Limit coffee and tea Avoid tobacco Brush twice daily Visit for regular dental checkups Periodic maintenance sessions can help sustain brightness. Is Laser Whitening Safe? Yes — when performed under professional supervision. One reason people specifically search for the Best laser whitening treatments – Nalamm Dental Cosmetiks in Kumbakonam is safety. Professional whitening protects gums and enamel while delivering effective results. Temporary sensitivity may occur, but it usually resolves within a few days. Cost vs Value Many people hesitate due to cost concerns. But think logically. Cheap whitening products often fail or require repeated use. Professional laser whitening provides immediate, noticeable results in one session. At Nalamm Dental Cosmetiks in Kumbakonam, pricing is transparent and fair, making it accessible for patients who value quality treatment. Laser Whitening vs Other Whitening Methods Feature Home Kits Laser Whitening Speed Slow Immediate Safety Variable Professional Results Mild Significant Longevity Short-term Long-lasting If you want fast, reliable results, the Best laser whitening treatments – Nalamm Dental Cosmetiks in Kumbakonam are the smarter option. Why a Bright Smile Matters A bright smile improves: Self-confidence Professional appearance Social interactions First impressions In a competitive world, presentation matters. Laser whitening is a small investment with visible impact. Book Your Consultation Today If you are serious about upgrading your smile, stop relying on ineffective home remedies. The Best laser whitening treatments – Nalamm Dental Cosmetiks in Kumbakonam offer safe, fast, and professional results tailored to your needs. Do not wait for another special occasion to improve your smile. Book your appointment at Nalamm Dental Cosmetiks in Kumbakonam today and experience the difference professional laser whitening can make. Your brighter smile starts with one decision. F.A.Q What are laser whitening treatments at Nalamm Dental Cosmetiks in Kumbakonam? Laser whitening treatments use professional-grade whitening gel activated by specialized light technology










