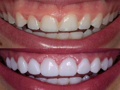
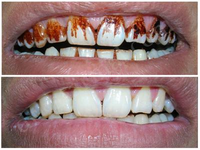
Save Up to 50%
on Dental services for members.
Enhance your dental health journey by joining our membership program. Members benefit from exclusive perks such as routine dental checkups, discounts on procedures like tooth extractions, and priority scheduling. Sign up today to enjoy continuous care, special offers, and a commitment to your oral health in a supportive community environment.













