Broken & Fractured Tooth Treatment in Kumbakonam | Nalamm Dental Cosmetiks
case-based dental care

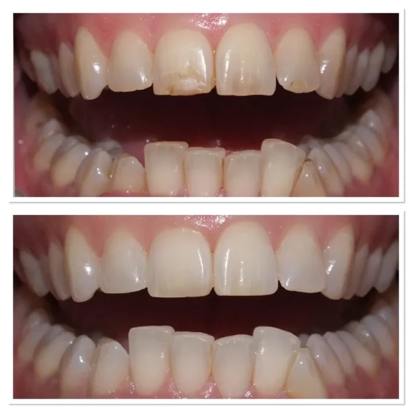
Introduction
A fractured tooth rarely happens at a convenient time. It might be a sudden crack while chewing, an unnoticed fracture that slowly worsens, or damage from an old filling, accident, or teeth grinding. At first, it may not even hurt—but over time, a fractured tooth can lead to pain, sensitivity, infection, or tooth loss if ignored.
If you are searching for fractured tooth correction treatments – Nalamm Dental Cosmetiks in Kumbakonam, it usually means you want one thing: to save your tooth safely and avoid bigger problems later.
At Nalamm Dental Cosmetiks, fractured teeth are treated with a case-based, conservative approach, focusing on preserving the natural tooth whenever possible.

What Is a Fractured Tooth?
A fractured tooth is any tooth that has developed a crack, chip, or break in its structure. Fractures vary widely—from minor surface cracks to deep splits reaching the nerve.
Common causes include:
Biting hard foods (nuts, ice, seeds)
Trauma or accidental injury
Old or large fillings weakening the tooth
Teeth grinding or clenching
Sudden temperature changes in the mouth
Not all fractures look the same, which is why proper diagnosis matters.
Types of Tooth Fractures
Understanding the type of fracture helps determine the right treatment.
🦷 Minor Enamel Cracks
Small surface cracks that may not cause pain but can worsen over time.
🦷 Chipped Tooth
A visible piece of tooth breaks off, often affecting appearance and sensitivity.
🦷 Cracked Tooth
A crack extending from the chewing surface toward the root. These need urgent attention.
🦷 Split Tooth
A severe fracture where the tooth is split into segments—often difficult to save.
🦷 Fracture Reaching the Nerve
These fractures cause pain, sensitivity, or infection and usually require root canal treatment.
Why You Should Not Ignore a Fractured Tooth
This is where many patients make a costly mistake.
Ignoring a fractured tooth can lead to:
Increasing pain and sensitivity
Bacterial infection inside the tooth
Abscess formation
Tooth loss
Need for more complex and expensive treatment
Early fractured tooth correction is simpler, less invasive, and more successful.
How Fractured Tooth Correction Is Diagnosed
At Nalamm Dental Cosmetiks, treatment starts with careful evaluation, not guesswork.
The dentist assesses:
Location and depth of the fracture
Tooth vitality (nerve involvement)
Bite forces and chewing habits
X-rays to evaluate internal damage
Only after understanding the fracture pattern is a treatment plan suggested.
Fractured Tooth Correction Treatments Available
There is no single treatment for all fractured teeth. Correction depends on severity.
🦷 Dental Filling or Bonding
Used for:
Minor chips
Small cracks
Tooth-colored composite materials restore shape and protect the tooth.
🦷 Dental Crowns
For fractures affecting a large portion of the tooth:
Crowns cover and protect the weakened tooth
Restore strength and function
Prevent further cracking
Crowns are often the best long-term solution for cracked teeth.
🦷 Root Canal Treatment
If the fracture reaches the nerve:
Infected tissue is removed
The canal is cleaned and sealed
A crown is placed to protect the tooth
This saves the tooth and eliminates pain.
🦷 Tooth Extraction (Last Resort)
If the fracture is too severe:
The dentist explains why the tooth cannot be saved
Replacement options are discussed honestly
Extraction is recommended only when preservation is not possible.
Fractured Tooth Treatment Is Not One-Day Guesswork
Many patients expect an instant fix. In reality:
Some fractures need monitoring
Some require staged treatment
Long-term success depends on correct diagnosis
Nalamm Dental Cosmetiks prioritizes long-term tooth survival, not shortcuts.
Why Choose Nalamm Dental Cosmetiks for Fractured Tooth Correction in Kumbakonam
Patients trust Nalamm Dental Cosmetiks because of:
Conservative treatment planning
Focus on saving natural teeth
Clear explanation of options
No unnecessary procedures
Comfortable, patient-friendly care
Every fractured tooth is treated as unique, not routine.
Who Is More Prone to Tooth Fractures?
You may be at higher risk if you:
Grind or clench teeth
Have large or old fillings
Chew hard foods frequently
Have untreated bite problems
Play contact sports without mouth protection
Identifying these risks helps prevent future fractures.
After-Care for Fractured Tooth Treatment
Post-treatment care is essential:
Avoid biting hard objects
Follow oral hygiene instructions
Attend follow-up visits
Use night guards if grinding is present
These steps protect both the treated tooth and overall oral health.
When to See a Dentist Immediately
Don’t wait if you experience:
Sharp pain while chewing
Sudden sensitivity to hot or cold
Visible crack or broken tooth
Swelling near the affected tooth
Pain that worsens over time
Early action makes all the difference.

Conclusion
A fractured tooth is not just a cosmetic issue—it’s a structural problem that needs timely care.
If you are searching for fractured tooth correction treatments – Nalamm Dental Cosmetiks in Kumbakonam, you’ll find a clinic that focuses on accurate diagnosis, conservative correction, and long-term tooth preservation.
📍 Local expertise
🦷 Ethical dental care
🙂 Natural teeth—protected
