Gum Disease Treatment in Kumbakonam | Deep Cleaning Guide
Get expert gum care at Nalamm Dental Cosmetiks for long-lasting results.

Get expert gum care at Nalamm Dental Cosmetiks for long-lasting results.

If you’re searching for deep teeth cleaning near me in Kumbakonam – Nalamm Dental Cosmetiks, you’re likely dealing with more than just surface stains. Bleeding gums, bad breath, or a feeling that your teeth aren’t truly clean even after brushing—these are signs that basic cleaning isn’t enough.
Let’s be clear: when plaque turns into hardened tartar and starts affecting your gums, you need deep teeth cleaning, not just a quick polish.

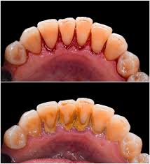
Deep teeth cleaning, also called scaling and root planing, is a dental procedure that removes plaque and tartar from below the gum line.
Unlike regular cleaning, it focuses on:
That’s why deep teeth cleaning near me in Kumbakonam – Nalamm Dental Cosmetiks is recommended when gum health is already affected.
Here’s where most people misunderstand.
Regular cleaning works for:
But when you have:
It means the problem has gone deeper.
Ignoring it leads to:
So if you’re searching for deep teeth cleaning near me in Kumbakonam – Nalamm Dental Cosmetiks, it’s likely because your gums need serious attention.
Don’t guess—look for these signs:
If you have even a few of these, regular cleaning won’t fix it.
Here’s what actually happens:
This process may take multiple sittings depending on severity.
Let’s be honest.
But:
At deep teeth cleaning near me in Kumbakonam – Nalamm Dental Cosmetiks, patient comfort is handled properly.
Let’s talk practical numbers.
The cost for deep teeth cleaning near me in Kumbakonam – Nalamm Dental Cosmetiks typically ranges:
Cost depends on:
Cheap options often skip important steps, leading to poor results.
This is where the real value lies.
Prevents further damage.
Eliminates bacteria buildup.
Reduces inflammation and bleeding.
Protects bone and tooth support.
Creates a healthier environment in your mouth.
Let’s not sugarcoat it.
Ignoring deep cleaning leads to:
You’re not avoiding cost—you’re delaying it and increasing it.
This is critical.
To maintain results:
If you ignore aftercare, the problem will return.
Deep cleaning is not a basic procedure—it requires proper technique.
Here’s what matters:
Identifies severity correctly.
Efficient and precise cleaning.
Handles gum treatments properly.
Ensures safe procedures.
No hidden charges.
That’s why patients trust deep teeth cleaning near me in Kumbakonam – Nalamm Dental Cosmetiks.
Let’s call this out directly:
These mistakes lead to recurring problems.
Yes—this is not optional if you have gum issues.
You’re getting:
Skipping it leads to bigger problems.

If you’re searching for deep teeth cleaning near me in Kumbakonam – Nalamm Dental Cosmetiks, don’t delay.
This is a treatment you do to save your teeth, not just clean them.
Be practical:
Because once damage progresses, reversing it becomes difficult.

Signs include bleeding gums, bad breath, gum swelling, and loose teeth. A dental check-up confirms the need.
It may take 1 to 3 sessions depending on the severity of gum disease.
It can control and stop early-stage gum disease, but advanced cases may require additional treatment.
Experienced dentists, advanced equipment, hygienic practices, and accurate diagnosis ensure effective treatment.