Professional Yellow Stained Teeth Cleaning Treatment in Kumbakonam
Restore your confidence with a clean and bright smile.

Restore your confidence with a clean and bright smile.

A bright smile can make a powerful first impression. However, many people struggle with yellow or stained teeth caused by daily habits, aging, or poor oral hygiene. While brushing regularly is important, it often isn’t enough to remove deep stains that develop over time.
This is why many individuals look for yellow stained teeth cleaning treatment in kumbakonam – nalamm dental cosmetiks when they want a safe and effective solution to restore their natural smile. Professional dental cleaning and whitening treatments can help remove stubborn stains, improve oral health, and enhance overall confidence.
In this guide, we’ll explore why teeth become yellow, how professional treatments work, and what options are available to achieve a brighter smile.

Tooth discoloration is a common issue affecting people of all ages. Several factors contribute to the yellowing or staining of teeth.
Drinks like coffee, tea, cola, and red wine can gradually stain the enamel. Highly pigmented foods such as berries and sauces may also contribute to discoloration.
Nicotine and tar in tobacco products cause stubborn yellow or brown stains that are difficult to remove with regular brushing.
As people age, the enamel layer becomes thinner, revealing the darker dentin underneath. This natural process often causes teeth to appear yellow.
Inadequate brushing and flossing allow plaque and tartar to accumulate on the teeth, leading to discoloration and dullness.
Some antibiotics and medical treatments can affect tooth color, causing staining that may require professional treatment.
Many patients experiencing these issues seek yellow stained teeth cleaning treatment in kumbakonam – nalamm dental cosmetiks to improve the brightness of their teeth.
Professional teeth cleaning is a dental procedure that removes plaque, tartar, and stains from the teeth. Even with good oral hygiene, plaque can harden into tartar in areas that are difficult to clean with a toothbrush.
During yellow stained teeth cleaning treatment in kumbakonam – nalamm dental cosmetiks, dentists use specialized tools to thoroughly clean the teeth and polish them for a smoother, brighter appearance.
Professional cleaning is often recommended every six months to maintain oral health.
Scaling and polishing are two important steps in professional dental cleaning.
Scaling removes hardened plaque (tartar) from the teeth and gum line. Tartar buildup contributes to yellow discoloration and gum disease if not removed.
After scaling, the teeth are polished using special dental paste and instruments. Polishing smoothens the tooth surface and removes superficial stains.
This process significantly improves the appearance of teeth and is a key part of yellow stained teeth cleaning treatment in kumbakonam – nalamm dental cosmetiks.
For deeper stains that cannot be removed through cleaning alone, dentists may recommend professional teeth whitening.
Teeth whitening uses special bleaching agents to lighten tooth color and remove stains from the enamel.
Benefits of professional whitening include:
Noticeably brighter teeth
Safe and controlled treatment
Even whitening results
Long-lasting improvement
Many patients combine whitening procedures with yellow stained teeth cleaning treatment in kumbakonam – nalamm dental cosmetiks for the best results.
Professional cleaning treatments offer several advantages beyond improving tooth color.
Removing plaque and tartar helps prevent cavities and gum disease.
Cleaning eliminates bacteria responsible for bad breath.
Professional polishing removes stains and restores natural tooth brightness.
During cleaning visits, dentists can identify potential dental issues before they become serious.
These benefits make yellow stained teeth cleaning treatment in kumbakonam – nalamm dental cosmetiks an important part of maintaining oral health.
Professional teeth cleaning is recommended for individuals who experience:
Yellow or stained teeth
Plaque or tartar buildup
Bad breath
Gum bleeding or inflammation
Cosmetic concerns about their smile
Regular dental cleaning is suitable for both adults and children as part of preventive dental care.
The results of professional teeth cleaning depend largely on lifestyle habits and oral hygiene.
To maintain a brighter smile:
Brush teeth twice daily
Floss regularly
Avoid excessive coffee, tea, or tobacco
Visit the dentist for regular check-ups
Patients who maintain these habits can extend the benefits of yellow stained teeth cleaning treatment in kumbakonam – nalamm dental cosmetiks.
Professional dental treatments work best when combined with proper oral care habits.
Important practices include:
Brushing with fluoride toothpaste
Flossing to remove plaque between teeth
Using mouthwash when recommended
Drinking plenty of water
Eating a balanced diet
Maintaining these habits can prevent stains from returning and protect overall dental health.
Many people delay dental visits until they experience severe discomfort. However, early consultation can prevent more serious problems.
You should visit a dentist if you notice:
Persistent tooth discoloration
Bleeding or swollen gums
Bad breath that does not improve
Tooth sensitivity
Plaque or tartar buildup
Seeking yellow stained teeth cleaning treatment in kumbakonam – nalamm dental cosmetiks early can prevent dental issues from worsening.

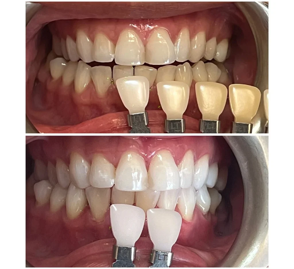
Yellow or stained teeth can affect both appearance and confidence, but modern dentistry offers effective solutions to restore a bright smile. Professional dental cleaning, scaling, polishing, and whitening treatments can significantly improve the appearance and health of your teeth.
Choosing yellow stained teeth cleaning treatment in kumbakonam – nalamm dental cosmetiks allows patients to benefit from professional dental care, advanced cleaning techniques, and personalized treatment plans.
With regular dental visits and proper oral hygiene habits, maintaining a bright and healthy smile becomes much easier. Investing in professional dental care today can protect your oral health and confidence for many years to come.

Yellow stains can be caused by coffee, tea, smoking, aging, poor oral hygiene, and plaque buildup.
Professional dental treatments such as scaling, polishing, and teeth whitening can effectively remove stains and improve tooth color.
Yes. Professional teeth cleaning performed by dentists is safe and helps maintain oral health.
Professional teeth cleaning usually takes about 30–45 minutes depending on plaque and tartar buildup.
Dentists generally recommend professional teeth cleaning every six months to maintain healthy teeth and gums.