Safe & Natural Mild Gap Closure Treatments
Where confident smiles begin.

Introduction
A beautiful smile doesn’t always need major dental correction. Sometimes, even a small gap between teeth can affect confidence, photos, and the way you speak or smile. The good news? Not all gaps require braces or long-term treatments. Many mild spacing issues can be corrected quickly, safely, and comfortably.
At Nalamm Dental Cosmetiks in Kumbakonam, we specialize in mild gap closure treatments that are minimally invasive, aesthetically pleasing, and designed to preserve your natural teeth while enhancing your smile.

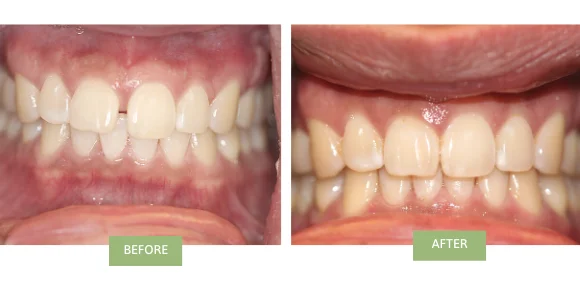
What Is a Mild Tooth Gap?
A mild gap (also called a diastema) refers to small spaces between teeth—usually seen between the front teeth. These gaps may be:
Naturally occurring
Genetic
Caused by gum issues
Due to small tooth size
Resulting from habits like thumb sucking
A result of missing or shifting teeth
While some people love their gap as a unique feature, others prefer a more aligned, symmetrical smile.
Do Mild Gaps Need Treatment?
Not always. If a gap doesn’t affect function or confidence, treatment may not be necessary. However, mild gaps can sometimes lead to:
Food accumulation
Speech difficulty
Gum irritation
Smile imbalance
Reduced confidence in social or professional settings
That’s why many patients choose mild gap closure treatments for cosmetic and functional improvement.
Mild Gap Closure Treatments Available at Nalamm Dental Cosmetiks
At Nalamm Dental Cosmetiks in Kumbakonam, we carefully assess your teeth, bite, and facial aesthetics before recommending treatment. Depending on your case, we may suggest one of the following:
1. Tooth-Colored Composite Bonding (Most Common)
This is the most popular and painless option for mild gap closure.
✔ Non-invasive
✔ No drilling in most cases
✔ Completed in a single visit
✔ Natural tooth color matching
A tooth-colored resin is artistically applied to close the gap and sculpt the tooth for a natural look.
2. Dental Veneers (For Enhanced Aesthetics)
For patients who want both gap closure and a cosmetic smile upgrade, veneers are an excellent option.
✔ Thin ceramic or composite shells
✔ Long-lasting results
✔ Ideal for uneven shapes or discoloration
Veneers provide a perfect smile makeover with minimal tooth preparation.
3. Clear Aligners (For Slight Alignment Issues)
When gaps are part of a mild alignment issue, clear aligners may be recommended.
✔ Invisible and removable
✔ Comfortable and discreet
✔ Gradual and controlled movement
This option is ideal for patients seeking a non-invasive orthodontic solution.
4. Gum Contouring (When Gaps Appear Due to Gum Shape)
Sometimes, the teeth aren’t the problem—the gums are. Gentle reshaping of the gum line can visually close gaps and improve symmetry.
Why Choose Nalamm Dental Cosmetiks in Kumbakonam?
We focus on precision, aesthetics, and patient comfort.
✔ Experienced cosmetic dental professionals
✔ Natural-looking results (not artificial or bulky)
✔ Advanced dental materials
✔ Personalized treatment planning
✔ Calm and hygienic clinic environment
Every smile is unique, and we treat it that way.
What Makes Our Mild Gap Closure Different?
Unlike one-size-fits-all cosmetic clinics, we:
Evaluate facial proportions
Maintain natural tooth shape
Avoid over-treatment
Preserve maximum enamel
Focus on long-term oral health
Our goal is to enhance—not change—your natural smile.
Is the Procedure Painful?
Most mild gap closure treatments are completely painless.
In many cases, no anesthesia is even required.
Patients often say:
“I didn’t feel anything, and the result looked natural instantly.”
How Long Does It Take?
Depending on the method:
Composite bonding: 30–60 minutes
Veneers: 2–3 visits
Aligners: few weeks to months
You’ll know the timeline clearly before starting.
Who Is an Ideal Candidate?
You may be a good candidate if you:
Have small gaps between teeth
Want a quick cosmetic improvement
Prefer non-surgical solutions
Want natural-looking results
Are preparing for an event or professional appearance
Caring for Your Smile After Gap Closure
To maintain results:
Brush twice daily
Floss regularly
Avoid biting hard objects
Visit the dentist for routine checkups
With proper care, results can last for many years.
Your Smile, Your Confidence
A small gap doesn’t need to hold you back. With modern dental techniques, enhancing your smile is simple, safe, and comfortable.
At Nalamm Dental Cosmetiks in Kumbakonam, we help you smile with confidence—naturally and beautifully.

Book Your Consultation Today
If you’re considering MILD GAP CLOSURE treatments, our team is ready to guide you through the best options for your smile.
📍 Nalamm Dental Cosmetiks – Kumbakonam
🦷 Gentle • Aesthetic • Trusted Dental Care
