Full Mouth Dental Implants in Kumbakonam | Cost & Benefits
Fixed, stable, long-lasting solution.

Fixed, stable, long-lasting solution.

Losing multiple teeth—or even a full set—doesn’t just affect your smile. It affects how you eat, speak, and carry yourself. Most people assume dentures are the only option. That’s outdated thinking.
A more advanced and stable solution today is All on 4 dental implants treatments in Kumbakonam – Nalamm Dental Cosmetiks.
If you want fixed teeth, not something you remove every night, this is the option you should seriously consider.

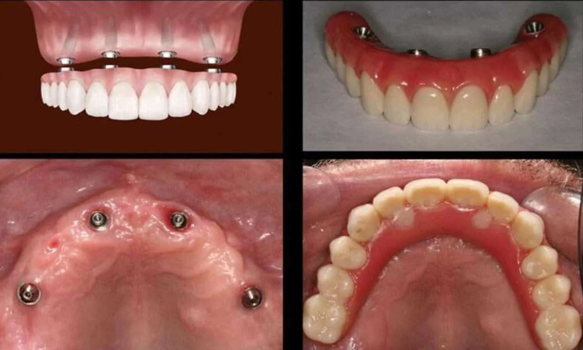
All-on-4 is a full-mouth dental restoration technique where only four implants are used to support an entire set of teeth (upper or lower jaw).
Instead of placing individual implants for each missing tooth, four strategically positioned implants hold a complete fixed prosthesis.
That’s why All on 4 dental implants treatments in Kumbakonam – Nalamm Dental Cosmetiks are becoming popular—they reduce complexity while delivering strong results.
Let’s break the difference clearly.
If you’ve been told implants are too expensive or complicated, All-on-4 changes that equation.
Not everyone needs All-on-4—but if you fall into these categories, it makes sense:
At All on 4 dental implants treatments in Kumbakonam – Nalamm Dental Cosmetiks, proper evaluation is done before recommending this procedure.
Here’s what actually happens:
It’s structured, not rushed.
This is where the real value comes in.
No removal, no slipping like dentures.
In many cases, you walk out with teeth on the same day.
Compared to multiple implants.
Strong bite and chewing ability.
Looks and feels like real teeth.
That’s why patients choose All on 4 dental implants treatments in Kumbakonam – Nalamm Dental Cosmetiks over traditional options.
Let’s address the main concern—cost.
The All on 4 dental implants treatments in Kumbakonam – Nalamm Dental Cosmetiks typically range between:
Yes, it’s a significant investment.
But compare it to:
This is a long-term solution—not a temporary fix.
Let’s be realistic.
Most patients say the discomfort is less than expected.
With proper care:
Your maintenance determines longevity—not just the treatment.
If you ignore this, results won’t last.
Skipping aftercare = risking failure.
Not every clinic is equipped for All-on-4.
Here’s what matters:
Accurate diagnosis and implant positioning.
Experience in handling full-mouth restorations.
Durable implants and prosthetics.
No hidden surprises.
Clear explanation of every step.
That’s why patients trust All on 4 dental implants treatments in Kumbakonam – Nalamm Dental Cosmetiks for reliable outcomes.
Let’s call this out directly:
This is a surgical procedure—not a shortcut solution.
If you’ve lost multiple teeth and want a fixed solution—yes.
You’re getting:
But don’t choose it blindly. It must fit your case.

If you’re considering All on 4 dental implants treatments in Kumbakonam – Nalamm Dental Cosmetiks, understand this clearly:
Stop settling for removable dentures if you want something permanent.

The implant placement can be done in a single day, but full healing and final prosthesis may take 3–6 months.
Patients with multiple missing teeth, bone loss, or dissatisfaction with dentures are ideal candidates after evaluation.
Implants can last 15–25 years or more with proper care and maintenance.
Yes, but smoking increases failure risk. Reducing or quitting improves success rate.
Expert team, advanced technology, customized treatment plans, and transparent pricing ensure reliable results.