Best Teeth Bleaching Treatment in Kumbakonam | Nalamm Dental Cosmetiks
If you’re serious about improving your smile, stop relying on temporary fixes.

If you’re serious about improving your smile, stop relying on temporary fixes.

A bright smile isn’t just about looks—it directly impacts your confidence, first impressions, and even how people perceive your personality. If your teeth have become dull, yellow, or stained over time, the solution is simple: professional teeth bleaching treatments in Kumbakonam – Nalamm Dental Cosmetiks.
Let’s be clear—home remedies and over-the-counter whitening kits don’t give the same results. If you want visible, safe, and long-lasting whitening, professional treatment is the only reliable option.

Before jumping into treatment, understand the problem.
Common causes include:
Most people try shortcuts like charcoal, DIY pastes, or random whitening strips. The reality? These either give temporary results or damage your enamel.
That’s why professional teeth bleaching treatments in Kumbakonam – Nalamm Dental Cosmetiks focus on safe, medically approved whitening methods.
Professional teeth bleaching is a dental procedure where high-quality whitening agents are applied under controlled conditions to remove stains and lighten tooth color.
Unlike home kits:
At professional teeth bleaching treatments in Kumbakonam – Nalamm Dental Cosmetiks, the process is designed for both effectiveness and safety.
Not all whitening treatments are the same. Here’s what you can expect:
The right option depends on your teeth condition and expectations. At professional teeth bleaching treatments in Kumbakonam – Nalamm Dental Cosmetiks, you get a tailored recommendation—not a generic solution.
Let’s keep it real.
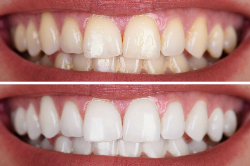
Professional bleaching can lighten your teeth by 2–8 shades, depending on:
This is not magic—it’s science-based treatment. Results are noticeable, but maintaining them is your responsibility.
Here’s what actually happens:
The entire process usually takes 45–90 minutes.
Simple, controlled, and effective—that’s what you get with professional teeth bleaching treatments in Kumbakonam – Nalamm Dental Cosmetiks.
Yes—if done professionally.
Unsafe methods include:
Professional treatment ensures:
At Nalamm Dental Cosmetiks, safety is not optional—it’s standard.
Here’s the honest answer:
If you continue:
Your teeth will stain again. No treatment can override bad habits.
If you ignore this, don’t expect results to last.
Maintenance is what separates temporary results from long-lasting ones.
You have multiple options—but quality matters.
Here’s what sets them apart:
No guesswork—treatment handled by trained professionals.
Only clinically approved materials used.
Not subtle changes—noticeable improvement.
Professional care without overpricing.
Every smile is treated differently.
That’s why patients trust professional teeth bleaching treatments in Kumbakonam – Nalamm Dental Cosmetiks for reliable whitening.
Let’s call this out directly:
If you want proper results, stop looking for shortcuts.
You are a good candidate if:
Not ideal if:
A proper consultation at professional teeth bleaching treatments in Kumbakonam – Nalamm Dental Cosmetiks will clarify this.
Let’s talk numbers.
Again, cost depends on:
Cheap options exist—but quality and safety matter more.

If you’re serious about improving your smile, stop relying on temporary fixes.
Professional teeth bleaching treatments in Kumbakonam – Nalamm Dental Cosmetiks offer a safe, effective, and long-lasting solution.
But remember:
If you don’t change habits, don’t expect long-term results.

Usually 45–90 minutes for in-clinic treatment.
Mild sensitivity may occur temporarily but subsides quickly.
No, a dental check-up is required to confirm eligibility.