Save Up to 50%
on Dental services for members.
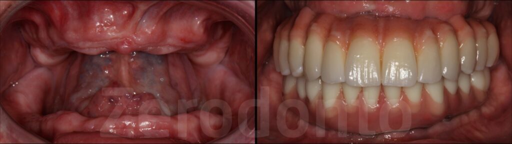
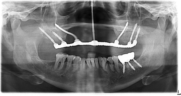
Elevate your dental care journey with our membership program, specifically designed for patients seeking teeth implants. As a member, you’ll benefit from reduced pricing on implant procedures, priority scheduling for consultations and treatments, and continuous follow-up care to ensure the best outcomes. Join today to access top-tier dental implant services and enhance your smile with confidence.











