Save Up to 50%
on Dental services for members.
Lorem ipsum dolor sit amet, consectetur adipiscing elit. Ut elit tellus, luctus nec ullamcorper mattis, pulvinar dapibus leo.

Missing, damaged, or weak teeth do more than affect your smile — they affect how you chew, speak, digest food, and maintain your overall health.
At Nalamm Dental Cosmetiks, we design crowns, bridges, and dentures that look natural, feel comfortable, and last for years.

Poor oral function and missing teeth can lead to:
A healthy mouth protects the entire body.
By restoring teeth, we prevent multiple long-term health issues.

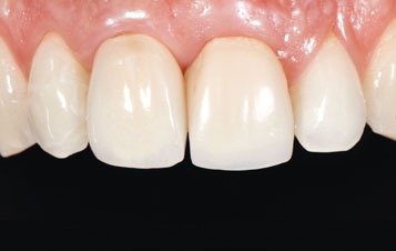
TOOTH COLOURED CERAMIC CROWNS

ADVANCED ZIRCONIA CROWNS

IMMEDIATE ACRYLIC CROWNS

AESTHETIC EMAX CROWNS

METAL WITH CERAMIC CROWNS

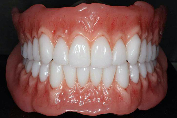
BPS REALISTIC DENTURES IN JUST 3 HOURS (2VISITS)

IMPLANT SUPPORTED OVER DENTURES

METAL FREE FLEXIBLE DENTURES

CAST PARTIAL DENTURE

PRECISION ATTACHMENTS

TELESCOPIC CROWNS

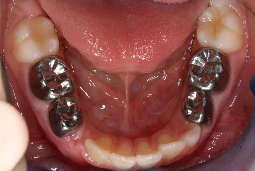
GOLDEN CROWNS

METAL CROWNS

METAL CERAMIC CROWNS (PFM-DMLS)

METAL FREE ALL CERAMIC CROWNS
Every crown, bridge, and denture is digitally designed to achieve:
We combine advanced technology with clinical expertise for predictable, comfortable results.
Patients from the US, UK, Europe, UAE, Singapore, Malaysia, and other regions choose us because we offer:
Your restoration looks natural and functions like a real tooth
Led by Dr. Aravind Chakaravarthy, our restorative dentistry expertise includes:

Used to strengthen and protect teeth affected by:
We offer high-quality crowns:
Best for replacing one or multiple missing teeth without surgery.
Benefits:
For patients with multiple missing teeth or complete tooth loss.
We provide:
For superior comfort and stability..
Advantages:
Advanced Technology for Superior Outcomes
We use:
Every restoration is engineered with precision and artistry.
Ignoring missing or damaged teeth can cause:
Higher risk of systemic diseases from poor oral function
Replacing teeth protects your health and preserves your facial structure.
If you have:
Now is the right time to act.
Book Your Crown, Bridge & Denture Consultation Today
Rebuild your smile. Rebuild your confidence.
Lorem ipsum dolor sit amet, consectetur adipiscing elit. Ut elit tellus, luctus nec ullamcorper mattis, pulvinar dapibus leo.
